Οι ορθοδοντικές ανωμαλίες απαντώνται συχνά και με την κατάλληλη διάγνωση και το ενδεδειγμένο σχέδιο ορθοδοντικής θεραπείας αντιμετωπίζονται με μεγάλη επιτυχία. Τα κύρια είδη ορθοδοντικών προβλημάτων είναι τα οδοντικά, τα οδοντοφατνιακά και τα σκελετικά ή και ο συνδυασμός τους. Φωτογραφικά παραδείγματα των ανωτέρω κατηγοριών παρατίθενται στη συνέχεια.
Συνωστισμός
Αραιοδοντία
Χασμοδοντία ή ανεωγμένη δήξη
Υπερσύγκλειση
Αυξημένη οριζόντια πρόταξη
Ανωμαλίες του αριθμού των δοντιών
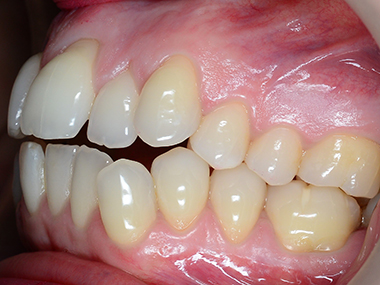
Σταυροειδής σύγκλειση
Έκτοπα δόντια
Έγκλειστα δόντια
Μετανάστευση δοντιών λόγω περιοδοντικής νόσου
Σκελετική Τάξη ΙΙ κατά Angle
Σκελετική Τάξη ΙΙΙ κατά Angle