Gr  En

Orthodontics – Children

In General

The most appropriate age for your child’s first visit to our orthodontic office is 6-7 years old.

Phase I treatment is recommended for young children due to one of the following reasons:

Skeletal correction (crossbite, prognathism or retrognathism of the upper and/or lower jaw)

Tooth protection from occlusal trauma

Detrimental habits termination (e.g. thumb-sucking, extended use of pacifier)

Guidance of permanent tooth eruption

Many of our young patients that received a timely Phase I intervention presented with no need for further orthodontic treatment. If a Phase II (comprehensive) treatment is required, the latter is easier for the patient, quicker and more efficient in comparison to patients that present at a later age and belong to one of the aforementioned categories.


Removable maxillary expander

Reverse headgear, Delaire face mask

Thumb habit appliance

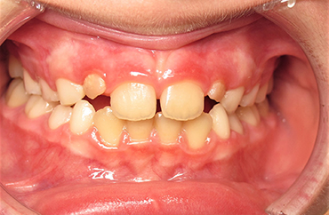
Phase I Case Gallery

Before
After
Correction of asymmetry and posterior crossbite
Before
After
Correction of asymmetry and posterior crossbite
Before
After
Eruption guidance of permanent and correction of crossbite
Before
After
Correction of asymmetry, traumatic deep bite and posterior crossbite
Return